
Receding gum lines can be unattractive, annoying, and painful. However, receding gums can most likely be avoided with the right tools and practices. If you have already experienced a receding gum line, you do not…

The mouth is one of the most important parts of the body for several reasons. We at Hendersonville Family Dental are passionate about oral health and helping our clients and their children keep their mouths…

Going to the dentist can be scary for lots of people, especially with unknown tools, fancy machines, and scary procedures. The more you know about the tools of a dental office, the can become less…

Clear aligners are plotted with a gradual plan from the beginning. This can limit the amount of discomfort because your teeth will only move onto the next set of aligners when your teeth are ready.…

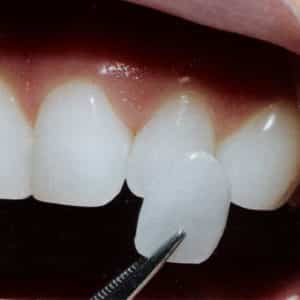
As we all know, your smile is the most important part of a great first impression, so it’s undoubtedly worth investing in. In fact, a recent survey from the American Academy of Cosmetic Dentistry showed…

The bare minimum of times that people should be thinking about their teeth is twice a day. Those two times should hopefully coincide nicely with when they brush and floss their teeth. Unfortunately, some people…